호흡기 질환

호흡기 질환 관련 안내 입니다.

·
호흡기클리닉
·
호흡기질환
  • 만성기침
  • 알레르기천식, 만성폐쇄성 폐질환
  • 기관지확장증
  • 결핵, 비결핵항산균폐질환
  • 폐렴 및 감염성 폐질환(코로나, 인플루엔자, 신종전염병)
  • 간질성 폐질환
Bronchiectasis
기관지확장증
  • 01

    기관지확장증이란 무엇인가요?

    기관지벽의 탄력 성분과 근육 성분의 파괴로 인하여 주기관지(main bronchi) 및 세기관지(bronchioles) 기도벽이
    비가역적으로 확장된 질환으로 일부 기관지에 국한되거나 또는 광범위한 기관지에 발생할 수 있는 질환입니다.
    img

    그림1. 기관지확장증의 병리기전 (출처 : NEJM 2022;387:533-545)

  • 02

    기관지확장증의 원인은 무엇인가요?

    홍역, 백일해, 결핵, 비결핵성 마이코박테리아 폐질환의 감염 질환이 원인이 될 수 있고, 개인 신체적 요인으로 기관지 폐쇄나 면역 기능 결핍 등이 원인이 될 수 있으며, 선천적인 α1-antitrypsin deficiency, 기관지벽 결핍 등으로도 발생할 수 있습니다.
    그리고 알레르기성 기관지 폐 아스페르길루스증(ABPA), 궤양성 대장염 등의 면역 질환 등에 동반되어 나타나기도 합니다.
  • 03

    기관지확장증의 증상은 무엇인가요?

    점액성 혹은 화농성 객담의 배출 장애 및 만성적이고 반복적인 기관지 감염과 연관된 증상을 초래하며, 객혈 및 호흡곤란, 그리고 반복성 폐렴이 발생하기도 합니다.
  • 04

    기관지확장증 진단을 위해 어떤 검사방법이 있는가요?

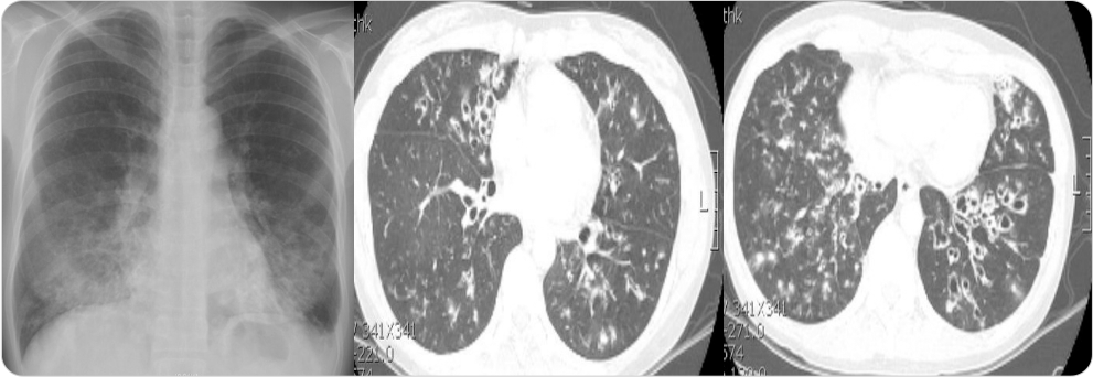
    흉부 X선 검사 및 흉부 CT 검사에서는 폐의 침윤 소견 및 폐의 낭성 변화로 인한 기찻길 모양의 tram track sign 및
    반지 모양의 signet ring sign을 확인할수 있습니다.
    img

    그림2 : 기관지확장증 환자의 흉부X선 (양쪽 폐중부 하부 침윤) 및 CT 사진(낭성 변화 및 tram track sign)

    한편 동반되는 부비동염을 확인하기 위하여 부비동 X선 촬영을 하기도 하고, 동반되는 폐기능 감소를 확인하기 위해서
    폐기능 검사를 시행하기도 하며, 감염 원인균 확인을 위해서 객담 배양 및 감수성 검사를 하고 객혈의 출혈 부위 확인을 위해서
    기관지 내시경을 시행하기도 하며, 동반 질환의 진단을 위해서 혈액 검사 및 알러지 검사를 하기도 합니다.
    img

    그림3 : 기관지확장증의 부비동사진(양쪽 부비동염) 및 기관지내시경 사진(기관 내 염증 및 출현흔 확인)

    img

    그림4 : 폐기능검사상의 제한성환기장애 및 폐쇄성환기장애

  • 05

    기관지확장증 치료는 무엇인가요?

    확인 가능한 기저 질환의 치료, 기관지의 분비물에 대한 적절한 제거, 감염의 조절, 기도 폐쇄를 해소하기 위한 치료, 그리고 객혈이 있는 경우
    지혈 치료를 하게 되는데, 기관지확장증의 기도 분비물은 양이 많고, 점도가 높아서 환자의 증상을 악화시키는 주요한 요인이며,
    객담 배출을 촉진하기 위해서 체위 배액(postural drainage)을 하고, 진동 및 타진의 물리요법을 사용하기도 하며, 내과적 치료로는 필요한 경우
    특별한 항생제 치료, 기관지 확장제, 거담제 등을 사용하기도 합니다. 한편 폐의 일부에 국한된 경우는 치료를 위해 폐 절제를 하기도 합니다.